Mir Orthodontics

치아교정,


단순한 배열 정리가 아닙니다.

목포미르치과병원은 부정교합을 정확히 진단하여

심미성과 기능을 동시에 개선하는 맞춤형 교정 치료를 제공합니다.

교합이 잘 맞으면 건강이 좋아집니다.


건축 설계와 같아서, 설계에 따라 구조가 달라지듯

치과의사도 올바른 치료 계획을 세워야 합니다.

치아 교정은 바로 이 '교합'을 바로잡는 과정입니다.


단순히 삐뚤어진 치아를 가지런히 하거나 튀어나온 입을 넣는 것이 아니라,

위아래 턱뼈의 관계를 정상화하고 바르게 씹고 발음할 수 있도록 도와줍니다.


그 결과, 기능을 회복하고 아름다운 얼굴 모양을 완성할 수 있습니다.
결국, 교정 치료란 치아 기능을 회복해 균형 잡힌 아름다움을 만드는 일입니다.

Orthodontics
Mir. Different point

고른 치열 그 너머,
자신감 있는 미소의 설계

목포미르치과병원 교정을 선택해야만 하는 이유
orth_point_img
01

친절하고 전문적인 설명

목포미르치과병원은 ‘설명 중심 진료’를 지향합니다.


목포미르치과병원은 치료의 시작을 ‘설명’에서부터 함께합니다.
02

꼼꼼하고 체계적인 후 관리

교정 치료가 끝난 후에도 치아 배열과 잇몸 건강을 안정적으로 유지할 수 있도록

담당 치과위생사가 정기적인 점검과 체계적인 관리를 도와드립니다.
03

부담은 낮추고 만족은 높인 교정 치료

치료의 질은 높이고, 비용 부담은 줄였습니다.


믿을 수 있는 진단과 합리적인 교정 비용으로 효과적인 치료를 제공합니다.
04

분야별 전문의가 함께하는 통합 진료 시스템

교정과 원장 2인의 의료진과 보철, 충치 치료 등 진료 분야 간의 함께하는

협진 시스템을 통해 한 병원에서 빠르고 정확한 치료가 가능합니다.
05

1:1 환자 맞춤 교정 상담 시스템

교정 치료 전, 모든 절차와 사용되는 재료, 치료 방식까지


환자분이 충분히 이해하실 수 있도록 1:1 상담을 통해 꼼꼼히 설명해 드립니다.
협진하는 통합 진료 시스템

Integrated Care System

교정 치료 과정에서 사랑니 발치, 충치 및 신경 치료, 턱관절 질환 치료까지 한 병원에서 빠르고 정확하게 진료받을 수 있습니다.


분야별 전문의들이 유기적으로 협진하여 환자 맞춤 치료를 제공합니다.

  • Mir Implant System image1

    교정 중 사랑니 발치

    교정 치료 중 사랑니가 치아 배열에 영향을 줄 경우, 치료의 효율을 높이기 위해 발치가 필요할 수 있습니다.
  • Mir Implant System image2

    교정 중 충치 치료 / 신경 치료

    교정 치료 중 충치나 신경 문제가 발견되면, 치료의 안정성과 구강 건강 유지를 위해 먼저 해당 치료를 진행하게 됩니다.
  • Mir Implant System image3

    교정 전 턱관절 치료 등 사례

    교정 전 턱관절에 통증이나 소리가 있다면, 치료의 안정성과 효과를 위해 먼저 턱관절 질환을 관리하는 것이 중요합니다.

환자 중심의 폭넓은 교정장치 선택

다양한 종류의 교정장치를 사용하여


환자분들의 상황과 여건에 맞는
선택의 폭을 넓혀드리고 있습니다.
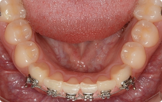
  • 메탈 교정

    기본에 충실한 메탈 교정

    교정 치료는 다양한 지식과 의술뿐 아니라

    의료진의 정성과 관심 또한 중요합니다.

    목포미르치과병원은 치과 교정 전문의를 비롯한
    의료진 모두 환자분과

    충분히 감정을 교류하고
    대화하며 동행하는 치료를 합니다.
    메탈 교정
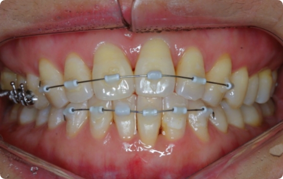
  • 데이몬(자가 결찰)

    빠르고 편안한 데이몬 교정

    데이몬 교정은 자가 결찰 기술을 적용한 교정 방법으로,

    기존의 교정 방식보다 빠르고 편안하게 치료할 수 있습니다.


    적은 마찰로 더 효율적인 치료가 가능하며, 미세한 조정이 용이합니다.
    데이몬
  • 세라믹 교정

    자연스러운 세라믹 교정

    세라믹 교정은 투명하거나 치아 색상과 유사한 브라켓을 사용하여,
    외관에서 거의 보이지 않는 교정 방법입니다.


    심미적인 면에서 뛰어나며, 자연스러운 외모를 유지할 수 있습니다.
    세라믹 교정
  • 부분 교정

    필요할 때만, 부분 교정

    부분 교정은 교정이 필요한 부분만 집중적으로 치료하는 방법으로,

    비교적 짧은 치료 기간과 적은 비용이 장점입니다.


    전체적인 교정이 필요하지 않은 경우에 적합합니다.


    원장님의 정확한 진단을 통해서 가능한 경우에 부분교정을 시행할 수 있습니다.
    부분 교정
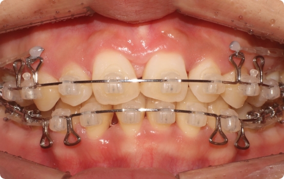
  • 클리피씨(자가결찰) 교정

    통증을 줄인 클리피씨 교정

    클리피씨 교정은 와이어를 묶지 않는 자가결찰 방식으로,

    치아 이동 시 마찰이 적어 통증이 덜하고 부드럽게 움직입니다.


    와이어 교체도 간단해 치과 내원 시 불편감이 적습니다.
    부분 교정
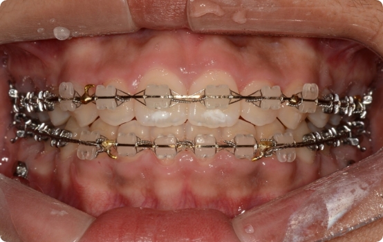
  • MTA(미니튜브) 교정

    눈에 띄지 않는 MTA 교정

    MTA교정은 브라켓 대신 아주 작은 튜브형태의 장치를 사용하는 방식으로,

    일반적인 교정장치보다 크기가 훨신 작고 심미적이여서 눈에 잘 띄지 않습니다.


    장치 부피가 작아 입안 찔림이나 이물감이 적어 앞니 등 부분교정에 빠르고 효율적입니다.
    부분 교정

목포미르치과병원
약도 문자전송서비스

전송된 약도를 확인하시고 방문해 주시면 감사하겠습니다.

약도 문자전송

목포미르치과병원
지상 주차장 운영

목포미르치과병원은 병원에 내원하시는 분들의 편의와


주차의 불편함을 최소화 하기 위해


약 30대 이상이 동시에 주차할 수 있는 지상 주차장을 운영하고 있습니다.


자가용 이용 시 참고해주시기 바랍니다.
빠른상담신청