진료과목
고객지원
미르치과병원
미르치과병원에 오신것을 환영합니다.
아직 미르치과병원 회원이 아니신가요?
로그인 안내
진료 과정
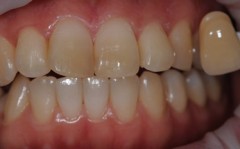
예방진료 관리 전,후
2026-01-26
1
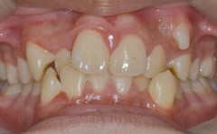
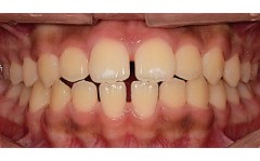
벌어진 치아
덧니교정
부분교정
전문가 치아미백
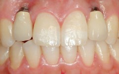
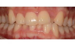
임플란트 재수술
이미지를 보시려면 로그인해주세요.
목포미르치과병원 약도 문자전송서비스
약도 문자전송
문자 전송하기
SEND
목포미르치과병원 지상 주차장 운영